Общая информация об ультразвуковых сканерах
По сравнению со всеми неинвазивными методами диагностики и визуализации тканей человека, ультразвуковые сканеры занимают особое место, поскольку обладают целым рядом преимуществ:
- Высокая разрешающая способность, позволяющая визуализировать образования, имеющие размеры менее 0.1 мм.
- Возможность проводить исследования подвижных структур с высокой точностью (кровоток, сокращающийся миокард).
- Возможность проводить эластографию (неинвазивная оценка жесткости тканей).
- Возможность построения объёмных изображений тканей.
- Практически отсутствует какой-либо вред для здоровья пациента при исследовании и полностью отсутствует для оператора ультразвукового сканера.
- Низкая стоимость по сравнению с МРТ, который тоже применяется для визуализации мягких тканей.
- Небольшие размеры, особенно у портативных аппаратов. Существуют узи сканеры размером с мобильный телефон.
Но и есть существенные ограничения – невозможность исследования газосодержащих структур (легкие, кишечник), а также резкое ухудшение качества изображения за костными тканями, да и сами костные ткани на узи аппарате исследовать невозможно.

Классы узи сканеров
- Черно-белый
- Базовый или начальный
- Средний
- Высокий
- Экспертный
- Премиум
Данные классы узи аппаратов ещё делятся на портативные и стационарные. Портативный прибор всегда уступает стационарному по визуализации при равной стоимости и наоборот, при равной визуализации портативный прибор будет всегда дороже стационарного. В связи с этим рекомендуем обращать внимание на портативные приборы только в случае если они нужны для выездной службы диагностики пациентов на дому или же в стационаре, но в очень ограниченном пространстве.
Основные режимы работы ультразвуковых аппаратов
В режим - двумерная черно-белая эхограмма, является базовым режимом работы, который имеется абсолютно во всех узи аппаратах.
М режим – одномерная черно-белая эхограмма, используется преимущественно в кардиологии. Режим строится в виде горизонтальной развёртки по выбранной линии В-режима, имеется абсолютно во всех узи аппаратах.

PW (Pulse wave) – импульсно-волновой доплеровский режим или спектральный доплер. Обычно для наведения режима на зону интереса используется В-режим + ЦДК. PW доплер позволяет провести количественный анализ скорости кровотока в сосудах. Имеется практически во всех узи аппаратах, за исключением черно-белого класса.

CW (Continuous wave) - непрерывно-волновой или постоянно-волновой доплеровский режим. Для наведения в зону интереса используется В-режим. CW доплер позволяет производить количественные измерения высокоскоростных турбулентных потоков, чего не может сделать PW доплер, что делает его незаменимым в кардиологии. Режим поддерживается практически любыми узи сканерами (кроме черно-белых), но очень часто является опциональным.

CD (Color Doppler) – цветовое доплеровское картирование (ЦДК). Режим строит поверх В-режима внутри окна (зоны интереса) доплеровское картирование подвижных структур (кровотока). Окрашивание производится по шкале, в двух цветах и их градациях, показывающих направление движение кровотока. ЦДК поддерживается абсолютно всеми узи сканерами, кроме черно-белых и является незаменимым инструментом диагностики.

PD (Power Doppler) – энергетический доплер. Режим строит поверх В-режима внутри окна (зоны интереса) доплеровское картирование подвижных структур (кровотока). В отличии от ЦДК является более чувствительным, но не даёт информации о направлении кровотока. Энергетический поддерживается абсолютно всеми узи сканерами, кроме черно-белых.

DPD (Directional Power Dopler) - направленный энергетический доплер. Режим строит поверх В-режима внутри окна (зоны интереса) доплеровское картирование подвижных структур (кровотока). В отличии от ЦДК является более чувствительным, даёт информацию о направлении кровотока, но не может выразить её в численном эквиваленте. Направленный энергетический доплер поддерживается узи сканерами среднего и выше классов.
TDI (Tissue Doppler Imaging) – тканевый доплеровский режим. Режим окрашивает внутри окна (зоны интереса) В-режим в соответствии с цветовой шкалой, состоящий из двух цветов и их градаций. Тканевый доплер, особенно с количественным анализом (График и синусоидами ниже), является незаменимым инструментом в кардиологии и позволяет выявить несинхронно сокращающиеся участки миокарда. Данный режим поддерживается приборами среднего класса и выше.

3D/4D – объёмная визуализация биологических тканей. УЗИ сканер при помощи специальных объёмных датчиков осуществляет трёхмерную реконструкцию изображения на основе данных В-режима. Объёмная визуализация используется практически исключительно в коммерческих целях в акушерстве, для создания красивых эхограмм плода. Данный режим поддерживается узи аппаратами среднего класса и выше. Особо продвинутые модели позволяют добавлять виртуальный источник света для получения более эффектного изображения.

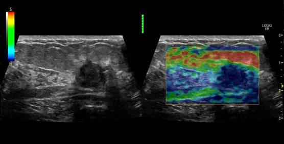
Elastography - компрессионная эластография. Режим позволяет произвести качественное сравнения жесткости тканей, что является очень полезным инструментом онкологии. Режим строится поверх В-режима, внутри зоны (окна) интереса и окрашивается в соответствии с шкалой жесткости. Доступен на узи сканерах начиная с высокого класса.
Shear Wave - эластография сдвиговых волн. Режим позволяет произвести количественный анализ жесткости тканей и является незаменимым в диагностике опухолевых образований и исследованиях печени. Режим строится поверх В-режима, внутри зоны (окна) интереса и окрашивается в соответствии с шкалой жесткости. Доступен на узи сканерах начиная с экспертного класса и полноценно функционирует только на премиум классе.
Помимо вышеперечисленных режимов исследований существуют многие другие , менее популярные, некоторые из которых являются эксклюзивными у производителей, например как у GE B-Flow - не доплеровская визуализация кровотока. Про них лучше проконсультироваться у наших специалистов, поставив медицинскую задачу исследования.
